没伤口=没受伤?浙江34岁男子险些丧命!医生提醒:这种伤比流血更可怕
发布日期:2025-04-19 06:12 点击次数:125
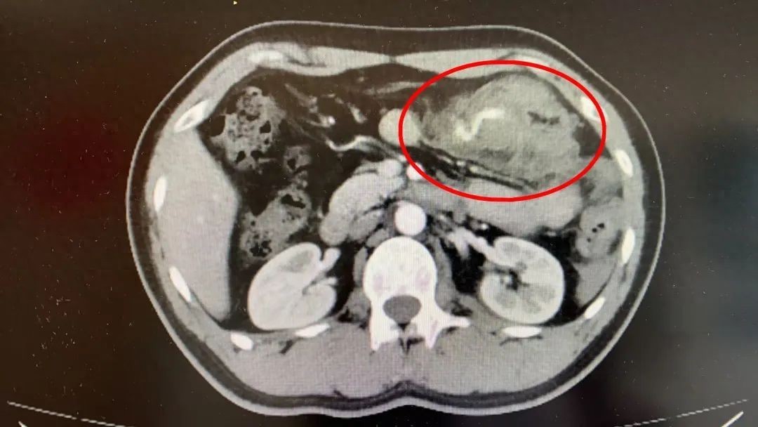
救护车的呼啸声划破寂静,34岁陈先生因车祸被送至杭州市一医院瓶窑院区(余杭三院)紧急抢救。腹腔出血 病情急转直下“刚才肚子很痛,现在已经好多了”,入院时陈先生神志清醒,生命体征平稳,能够清楚和急诊医护人员交流。急诊医护人员查体发现陈先生没有明显伤口。凭借多年的临床经验,急诊医生为排除腹腔内出血的可能性,于是进一步完善腹部CT检查,检查结果发现陈先生左上腹有团片状高密度影,B超提示腹腔积液已有2cm,证实了医生的猜测。此时,陈先生血压开始下降,收缩压从125mmHg下降至105mmHg,舒张压从90mmHg下降至80mmHg,病情急转直下。

出血区紧急探查 手术精准止血普外科紧急会诊后,考虑需确定出血点和出血量,普外科副主任林勇强主刀行急诊全麻下做腹腔镜探查手术。术中,进入腹腔后,眼前的一幕让所有人震惊。陈先生腹腔内充斥着大量血凝块及积血,总量约1500ml(约是人体总血量的1/4)。进一步探查发现出血点为肠系膜血管,迅速清除肠系膜内的积血后,外科团队成功找到并缝合了破裂点,完成止血。整个手术过程紧张而有序,团队成员之间紧密协作。经过2个多小时紧张的“战斗”,陈先生脱离了生命危险。术后,外科快速康复小组为陈先生制定了包含营养支持、疼痛管理、早期活动的快速康复方案。在医护人员的精心照料下,陈先生住院时间大大缩短,如今已经康复出院了。专家提醒林勇强主任指出,肠系膜血管就像是为肠道输送养分的“交通枢纽”,里面的血管负责给肠道提供维持正常运转的血液。一旦肠系膜血管受损出血,肠道就无法正常工作,可能会出现肠坏死、肠梗阻。大量失血还会迅速导致休克,危及生命。车祸这类剧烈的外伤,很容易导致肠系膜受到强烈的撞击或牵扯,从而使血管破裂出血。肠系膜血管出血在早期可能没有特别典型的症状,但随着出血的进展,会出现腹痛、低血压等明显表现。在此提醒大家,车祸等意外发生后,一定要及时前往医院进行检查和治疗,避免延误病情,造成不可挽回的后果。来源:杭州市余杭区第三人民医院